一、特色植物有效成分制品研发及产业化
1. 特色资源植物多糖的绿色制备、结构研究、功能评价及产品研发
以西北特色多糖植物百合、蕨麻、锁阳、沙蒿、苦参等为原料,集成微波法、超声波法等绿色技术制备天然多糖,系统研究其化学结构、活性筛选、功能评价,研制出了提高免疫力、抗衰老、抗辐射、降血糖等系列发明专利产品。申请国家发明专利20项,授权11项;授权美国发明专利1项;发表SCI收录论文8篇。
降糖的沙蒿多糖生产技术2008年通过省级科技成果鉴定,达到国际先进水平(甘科鉴字2008年第692号)。已在兰州普利生物技术开发有限公司完成中试生产,新增产值117万元,利润30.42万元,利税11.47万元。

提高免疫力百合多糖生产技术2011年通过省级科技成果鉴定,达到国际先进水平(甘科鉴字2011年第829号),转让兰州蕴源生物技术开发有限责任公司,转让费20万元。目前已完成中试生产,新增产值52万元,利润13.52万元,利税4.5万元。


科技成果鉴定会
2. 高乌头的组织快繁及其刺乌头碱的结构修饰
刺乌头碱是公司植物研究所80年代研发的具有止痛作用的国家一类新药,该药的生产面临高乌头资源日渐枯竭的问题,解决刺乌头碱的药源问题已成为当务之急。此外,刺乌头碱镇痛总有效率及显效率不高,难以满足临床镇痛需求而使普遍应用受到限制。针对这一问题,进行了高乌头组织快繁研究,确定了高乌头生根培养和炼苗移栽的最佳条件,在天水林业职业技术公司建立高乌头原料种植基地。
制备了刺乌头碱的柠檬酸盐、酒石酸盐、硝酸盐和硫酸盐,筛选出了溶解性好、生物利用度高的刺乌头碱的硫酸盐,其镇痛效果优于刺乌头碱氢溴酸盐,授权发明专利3项。该技术成果通过了省级鉴定,达到国际先进水平(甘科鉴字2010第657号)。

3. 植物多糖固定化载体的研发及应用
利用沙蒿、罗望子和刺梧桐等天然植物多糖分别复合壳聚糖等,制备了耐酸碱的复合生物多糖载体并固定化β-半乳糖苷酶、酵母细胞和醋酸杆菌细胞。具有生物相容性好、耐酸碱、耐高温、溶胀小、机械强度好、活力回收率高。固定化β-半乳糖苷酶已与兰州雪顿生物乳业有限公司合作生产低乳糖牛奶,可用于乳糖不耐受人群;固定化细胞技术已用于果醋和果酒的生产中。成果共申请国家发明专利8项,授权5项,发表SCI论文11篇。


特色植物有效成分的开发利用研究
4.
先后进行了紫堇、甘草、百合、锁阳、蕨麻、百里香、当归、杜鹃、葫芦巴、苦参等50余种特色植物有效成分的开发利用研究,开发出了具有自主知识产权的特色天然产物;对杜松、香芸火绒草、香豆草、沙枣、月见草、花椒等香料作物进行了挥发性成分分析和评香鉴定,部分产品已应用于化妆品、医药、烟草等方面。
对甘肃分布的30余种油料植物进行了化学成分的提取、分离、分析研究和功能评价,可用于心脑血管疾病、高血压、糖尿病、肥胖症等症的预防和治疗。先后完成了“甘肃省紫堇属植物活性成分的筛选及新药开发研究”(国际先进、甘科鉴字[2002]第007号)、“甘肃省紫堇属植物生物活性成分的筛选及开发利用”(国际先进、甘科鉴字[2002]第006号)、“国槐豆胶的研究与开发”(国内领先、甘科鉴字[1997]第358号)、“锁阳酿密发酵工艺研究”(国内领先、甘科鉴字[1999]第320号);紫堇碱30万元转让甘肃瑞特药业有限责任公司。
二、陇南灾区特色农产品快速生产及生态高值化利用
受汶川地震的影响,甘肃陇南市9县区不同程度的受损,地震损失农作物受灾46.4192万亩,成灾14.7837万亩,绝收2.1136万亩,迫切需要灾区农村居民生活保障技术、农村生产恢复技术以及农村生态安全建设技术。对此,在陇南示范推广了核桃夏季芽接、食用菌高产栽培、夏秋茶综合开发利用、油橄榄绿色化生产与加工及废弃物资源化等关键技术,为促进陇南灾后重建和特色产业的可持续发展提供了技术支撑,累计实现产值1.36亿元,培训技术人员3000多人次,辐射带动农户4.75万户。
1. 陇南茶叶的深加工与综合开发利用
甘肃陇南约有10万亩茶园,年产茶叶近1万吨,目前仅将春茶加工成绿茶产品,夏茶、秋茶未被利用而造成资源浪费,对其进行有效成分提取利用,生产高附加值的精细化学品,是其资源化的重要途径,符合循环经济理念,有利于茶产业的产业链延伸。
(1)陇南夏秋茶生产铁观音
与康县茗芝茶叶有限责任公司合作对绿茶生产工艺进行优化,利用陇南夏、秋茶制备生产铁观音,2008-2010年累计生产绿茶和铁观音27吨,实现产值425万元。每年可为甘肃陇南地区解决积压茶叶200多吨,为茶农创收130多万元。

指导茶农用夏茶、秋茶生产铁观音
2. 绿色化生产茶多酚及其系列产品
以陇南地区夏、秋茶为原料,以水为介质替代有机溶剂,以柠檬酸和异VC钠替代硫酸完成酸转溶过程,建立了绿色化生产茶多酚的新工艺,已在天水维康生物工程有限公司实现了产业化,并开发出了茶多酚系列产品---维康冲剂、维康宝茶饮料、醒神冲剂,制定了相关的企业质量标准(Q/TW01–2008),获得生产许可证(QS6205 1402 0017)和卫生许可证(甘卫食证字[2008]第620502-0000070号)。2006-2011年共生产茶多酚50吨,维康冲剂800吨,维康宝茶饮料4100吨,实现产值7960万元,创利税830万元,出口创汇222万元。“茶多酚绿色化生产的技术研究与产品开发”2009年通过省级鉴定,其成果达到同类研究的国内领先水平(甘科鉴字[2009]第866号)。

“茶多酚绿色化生产的技术研究与产品开发”成果鉴定会及系列产品展示
3. 绿茶蛋鸡饲料的开发
以茶叶、玉米、大豆粕、花椒籽等为原料,开发出绿茶蛋鸡饲料,在康县原生态科技开发有限公司进行蛋鸡养殖示范,2008-2010年提供18吨(价值9万元)绿茶蛋鸡饲料,喂养3000只蛋鸡,年产蛋60万颗,产值120万元。

绿茶蛋鸡饲料和绿茶鸡蛋
4. 油橄榄加工废弃物的资源化深度开发利用研究
与陇南田园橄榄油科技开发有限公司联合攻关,进行初榨橄榄油的工艺优化;以油橄榄加工后的果渣、废液为原料,研发了提取果渣油和橄榄多酚的技术工艺。
2008-2010年生产精制橄榄油128吨,实现产值1999万元,利润358万元,实现利税461万元,产生果渣油41吨。2010年通过省级鉴定,达到同类研究的国际先进水平(甘科鉴字[2010]第658号)。

橄榄和橄榄油的生产
5. 核桃夏季芽接快速生产关键技术和深加工研究
与陇南核桃开发中心进行技术合作,研发了无土套袋增温保湿技术,使嫁接成活率从50%提高到89.4%,突破了核桃嫁接难的瓶颈;进行了核桃油的加工提取产业化试验研究等。
2008年-2010年,陇南核桃开发中心实现产值3000万元,其中:年销售良种核桃嫁接苗50万株,产值300万元;年销售优质核桃坚果200吨,产值400万元;年销售优质核桃仁150吨,产值600万元。

核桃夏季芽高接换优 陇南核桃与核桃油
6. 食用菌栽培高产集成技术示范与推广
利用修剪的果树枝生产袋种木耳、杏鲍菇、香菇等木腐类食用菌,2007-2011年累计生产各菇种菌棒50万棒,总产菇量150吨,实现产值177.6万元。在徽县榆树乡、两当县金洞建立示范点2个,投放黑木耳菌棒31万棒和杏鲍菇菌棒4万棒,产黑木耳1.24万公斤,产杏鲍菇1.6万公斤,灾区菇农收益80余万元。

袋种黑木耳示范基地 利用修剪的果树枝生产杏鲍菇、香菇
葡萄、番茄的种植与加工已在西北地区形成了规模,年产量近1000万吨,每年番茄制品工业废渣约有10万吨;甘肃马铃薯种植面积900多万亩,仅定西就有300多万亩,年产生茎叶废弃物55万吨;兰州市蔬菜种植面积40万亩,年产量13亿公斤,每年约有7亿公斤蔬菜废弃物。这些农产品及其废弃物的利用,将使资源优势向产业优势转化,符合循环经济理念。
1. 纯天然降脂保肝专利产品
利用冷榨结合超临界CO2萃取等绿色制备技术,以野山杏废弃物、番茄酱工业废渣、葡萄酿酒工业废渣等为原料,提取有效成分,系统研究了其降低血脂、软化血管等保健功能,开发了“清醇宝”、杏仁蛋白等系列专利天然产品,申请发明专利18项,授权3项。“葡萄酒工业废渣的开发应用”2004年通过省级成果鉴定,达到国际先进水平(甘科鉴字2004第662号),已转让甘肃瑞特药业有限公司,转让费70万元;“辽西野山杏仁油的开发利用研究”2006年通过省级成果鉴定,达到国际先进水平(甘科鉴字2006第250号),在辽宁天利生物科技有限公司生产51万粒,产值85万元;“番茄酱工业废渣的开发应用”2005年通过省级成果鉴定,达到国内领先水平(甘科鉴字2005第605号)。

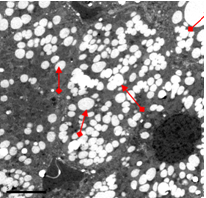
正常动物(左)、服用杏仁油动物(中)、高血脂动物(右)新鲜肝脏
高血脂动物(左)喂服杏仁油软胶囊前后(右)肝细胞中脂肪滴的比较
脂肪滴 :
,×5000

科技成果鉴定会 成果转让仪式 产品宣传
2. 蔬菜废弃物的高值利用
以马铃薯茎叶、蔬菜废弃物等农产品废弃物以及特色优势资源植物为原料,进行深度开发利用研究。利用微波技术并结合反相超临界CO2萃取技术纯化茄尼醇,形成了可供产业化生产高纯度茄尼醇的绿色生产工艺,进行了茄尼醇的抗氧化、抗衰老和免疫组化研究。申请发明专利3件,其中授权美国专利1件,2009年通过省级鉴定,达到国际先进水平(甘科鉴字2009第863号)。2012年转让张掖市兴农生物科技有限公司,转让费20万元。“兰州市农村蔬菜废弃物的开发应用研究”2008年通过省级鉴定,达到国内领先水平(甘科鉴字2004第664号)。

微波法提取茄尼醇 成果鉴定会
3. 农产品废弃物制备高性能吸水材料
利用马铃薯茎叶、野山杏肉废弃物、马铃薯淀粉工业废渣等废弃物为原料在微波辐射条件下,分别合成了接枝型、互穿网络型,有机物无机物复合型高吸水性材料,申请发明专利7件,授权2件。2010年获甘肃省科技进步一等奖。

